Perché scegliere impianti dentali o protesi

Ripristina la funzionalità e l’estetica
La perdita di uno o più denti compromette il sorriso, la masticazione e spesso anche la fiducia in sé stessi. Gli impianti dentali e le protesi dentali fisse e protesi mobili sono soluzioni moderne che permettono di ripristinare pienamente estetica e funzione masticatoria, migliorando la qualità della vita.
Grazie alla tecnologia implantare di ultima generazione, è possibile sostituire i denti mancanti in modo stabile, sicuro e duraturo.

Soluzioni Personalizzate
Ogni caso è unico. Noi offriamo soluzioni personalizzate, realizzate con materiali biocompatibili di alta qualità e mediante strumentazioni all’avanguardia.

Pazienti con denti mancanti o compromessi
A chi è rivolto il servizio?
Il trattamento con impianti dentali o protesi fissa e protesi mobile è rivolto a chiunque abbia perso uno o più denti o soffra di gravi compromissioni dentali.
Sia in caso di edentulia totale che di mancanze parziali, l’implantologia permette il recupero funzionale completo.
Come si procede
In caso di edentulia, che sia essa totale o parziale, si procede con l’inserimento nell’osso di una radice artificiale (l’impianto) costituito da titanio, materiale totalmente biocompatibile. La tecnica classica in 2 fasi prevede che, dopo l’ inserimento dell’ impianto, si debba attendere un periodo di almeno 3 mesi prima di poterlo caricare. Rappresenta tuttora la scelta migliore in zone per le quali non ci sono particolari richieste estetiche. In zone anteriori o in casi di grosse riabilitazioni si può ricorrere all’implantologia a carico immediato.
Persone di qualsiasi età
I nostri pazienti vanno dai giovani adulti agli anziani. Dopo un’attenta valutazione clinica, possiamo intervenire in piena sicurezza in ogni fascia d’età, rispettando le esigenze individuali.

Torna a sorridere con lo Studio Dentistico Dellavalle!
Scopri se hai bisogno di impianti o protesi dentali presso il nostro studio a Novara.

Prevenzione
Quando servono impianti o protesi?
Segnali da non ignorare
- Perdita di uno o più denti
- Difficoltà nella masticazione
- Problemi nel parlare
- Protesi mobili che non aderiscono più
- Dolori mandibolari ricorrenti
Vantaggi
Vantaggi degli impianti dentali
L’implantologia dentale oggi offre risultati estremamente prevedibili grazie all’utilizzo di tecnologie come la chirurgia guidata 3D, scanner intraorali e materiali biocompatibili come il titanio puro.
• Stabilità masticatoria paragonabile ai denti naturali
• Miglioramento dell’estetica facciale e dell’estetica dentale
• Preservazione del volume osseo
• Comfort e sicurezza
• Lunga durata nel tempo
• Miglioramento dell’autostima e della qualità di vita

Quali problemi risolvono gli impianti dentali e le protesi?

Richiedi una diagnosi precisa senza impegno
Funzionalità compromessa
La mancanza di denti causa problemi masticatori, difficoltà digestive e spesso fastidi nell’articolazione del linguaggio.
Problemi estetici ed emotivi
L’assenza di denti altera l’estetica del viso e può compromettere le relazioni sociali, generando disagio psicologico.
Instabilità delle protesi mobili
Grazie agli impianti dentali è possibile eliminare i fastidi tipici delle protesi mobili instabili, garantendo sicurezza e comfort.
Impianti a carico immediato: sorridere subito, in sicurezza
Gli impianti a carico immediato consentono di applicare una protesi provvisoria fissa lo stesso giorno dell’intervento, evitando così i lunghi periodi senza denti tipici delle tecniche tradizionali.
Dopo un’attenta valutazione clinica e radiologica, i dentisti dello Studio del dott. Paolo Dellavalle a Novara stabiliscono se l’osso offre le condizioni necessarie per garantire stabilità iniziale all’impianto.
Questa procedura permette al paziente di riprendere da subito la propria routine, parlare e sorridere con naturalezza, riducendo al minimo disagi ed effetti estetici indesiderati. La protesi provvisoria resta in sede durante la fase di integrazione dell’impianto, fino all’applicazione della protesi definitiva.


Quando il carico immediato è la scelta giusta
Il carico immediato è indicato nei casi in cui sono presenti denti gravemente compromessi, mancanze da riabilitare con urgenza o necessità estetiche importanti.
La procedura non viene mai applicata automaticamente: ogni situazione viene analizzata con strumenti digitali e pianificazione 3D per verificare la qualità dell’osso, l’occlusione e la stabilità che l’impianto può raggiungere al momento dell’inserimento.
Quando le condizioni sono favorevoli, il paziente può ottenere una protesi fissa provvisoria stabile, funzionale e confortevole già dopo poche ore, con un miglioramento immediato sia dal punto di vista estetico sia nella masticazione.
Trattamenti
Tipologie di trattamento offerte
Impianti dentali a carico immediato
Le moderne tecniche d’implantologia consentono di ritrovare il sorriso e la masticazione in poche sedute. Grazie al carico immediato, si può procedere con l’impianto di una protesi fissa provvisoria a distanza di poche ore dall’inserimento delle radici artificiali.
La tecnica All-on-Four
La tecnica del carico immediato All-on-Four (così chiamata poiché l’intera struttura di un’arcata può reggersi su 4 radici in titanio corrispondenti ai soli 4 fori praticati sull’osso mascellare) consiste nel posizionamento in una sola seduta degli impianti e, poche ore dopo, della protesi provvisoria ad essi avvitata. La possibilità della consegna della protesi provvisoria nella stessa seduta va valutata caso per caso.
Impianti a carico differito
In altri casi, viene preferito il carico differito per garantire maggiore stabilità ossea. Per una valutazione del vostro caso e per maggiori informazioni in merito ai trattamenti di implantologia a Novara contattate lo Studio del Dott. Dellavalle, il vostro dentista di fiducia: potrete fissare un appuntamento e trovare la soluzione alla vostra problematica.
Protesi fisse su impianti
Le protesi fisse rappresentano la soluzione più stabile e naturale, garantendo una perfetta funzionalità masticatoria e un’estetica impeccabile. Esse consentono, infatti, di ripristinare in maniera definitiva le funzioni orali dei pazienti affetti da edentulia, ovvero mancanza di denti parziale o totale, sostituendo gli elementi mancanti con elementi artificiali, inamovibili.
Protesi mobili di ultima generazione
Per i casi in cui non sia possibile ricorrere agli impianti, proponiamo protesi mobili leggere, resistenti e confortevoli, realizzate con materiali innovativi. Vengono realizzate dall’odontotecnico sulla base dell’impronta data dal medico. A differenza della protesi fissa, la protesi mobile può essere rimossa dal paziente dopo i pasti e durante le ore di sonno: in questo modo è possibile eseguire con semplicità le manovre dell’igiene quotidiana.
Perchè scegliere lo Studio Dentistico Dellavalle?
Ricevi il tuo piano personalizzato e preventivo chiaro
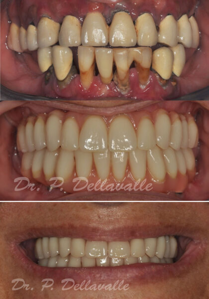
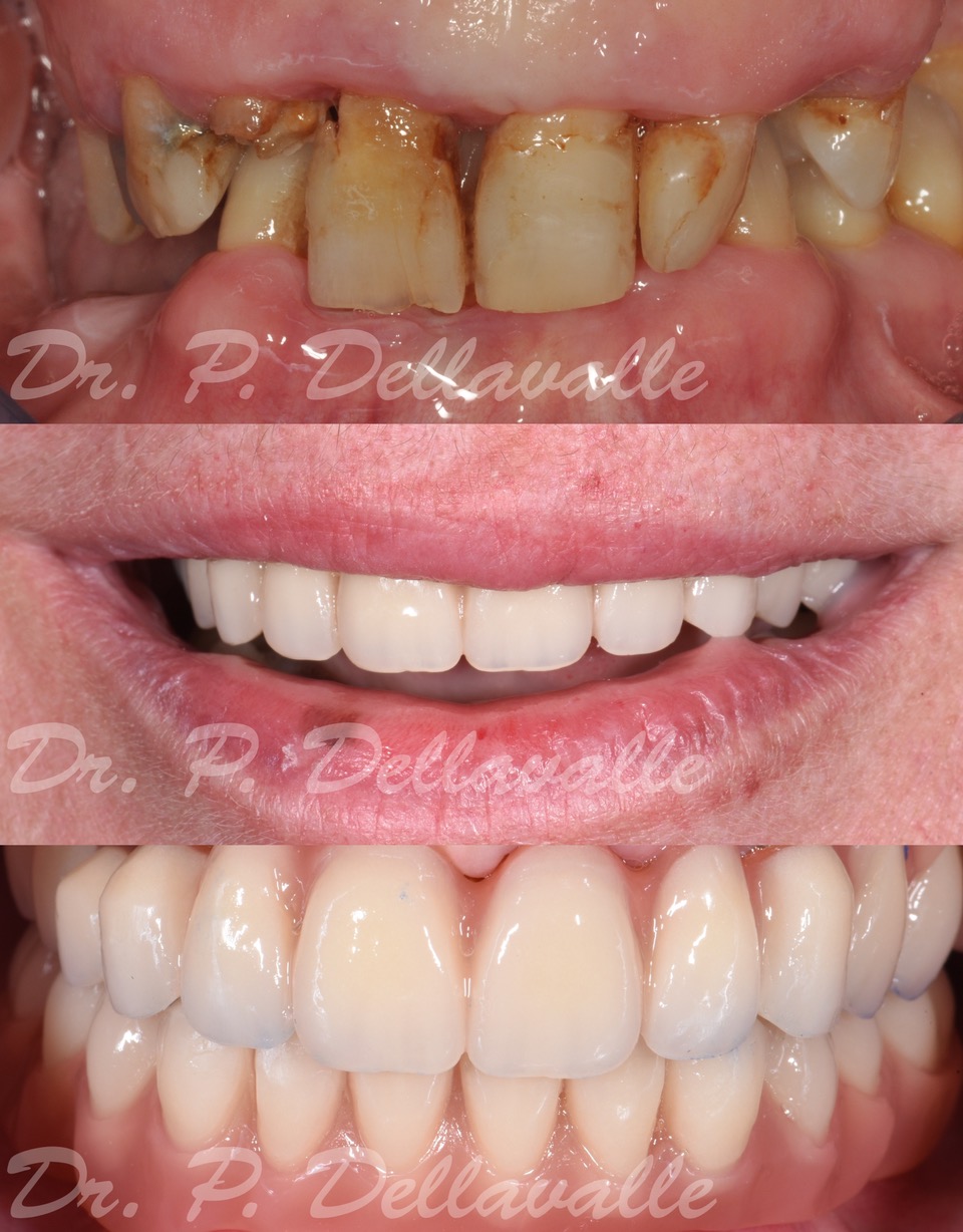
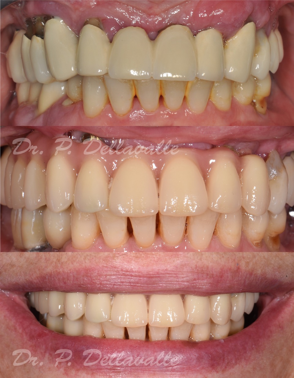
Casi studio
Casi clinici: i nostri risultati concreti
Nel nostro studio a Novara, documentiamo ogni giorno numerosi casi clinici di successo. Interventi di implantologia dentale avanzata e riabilitazioni protesiche personalizzate permettono ai nostri pazienti di tornare a sorridere serenamente.
All’interno di questa pagina potrai visionare alcune immagini dei nostri trattamenti, sempre aggiornati per mostrarti i risultati concreti che possiamo ottenere.
Convenzioni
Le convenzioni dello Studio Dentistico
Siamo convenzionati con i principali enti assicurativi e fondi sanitari integrativi. Grazie a queste convenzioni, molti pazienti possono accedere a prestazioni di alta qualità a condizioni agevolate, risparmiando sui costi delle terapie odontoiatriche.




Perché sceglierci

Professionalità e tecnologie avanzate
Siamo specializzati in implantologia dentale a Novara, avvalendoci delle più moderne tecnologie diagnostiche e chirurgiche. Ogni intervento viene pianificato con massima precisione grazie a radiografie digitali, tomografie 3D e sistemi CAD/CAM.

Approccio umano e personalizzato
Seguiamo ogni paziente con attenzione e ascolto, proponendo solo trattamenti realmente utili, senza soluzioni standardizzate.

Prezzi chiari, senza sorprese
I preventivi sono sempre trasparenti e i piani di pagamento personalizzati consentono di accedere ai trattamenti senza stress economico.
Contattaci
Prenota una Visita o una
prima consulenza
Prenota una consulenza: effettueremo una valutazione approfondita e ti proporremo il piano terapeutico più adatto alle tue necessità.
Dove trovarci
Con sede a Novara, lo studio è facilmente raggiungibile anche per pazienti provenienti da: Arona, Bellinzago, Biandrate, Borgomanero, Briona, Caltignaga, Cameri, Castelletto Sopra Ticino, Cerano, Fara Novarese, Galliate, Garbagna Novarese, Oleggio, Orta San Giulio, provincia di Novara, Romentino, Trecate.

Prenota la tua visita
Per ricevere informazioni compila con i tuoi dati il form di seguito e sarai contattato al più presto dal nostro staff.
- Ritrova il sorriso con lo Studio Dellavalle
- Perché scegliere impianti dentali o protesi
- A chi è rivolto il servizio?
- Quando servono impianti o protesi?
- Vantaggi degli impianti dentali
- Impianti a carico immediato: sorridere subito, in sicurezza
- Quando il carico immediato è la scelta giusta
- Tipologie di trattamento offerte
- Perché sceglierci
- Prenota una Visita o unaprima consulenza





